Imaging

Frequently asked questions about the science behind our research

What is MRI?

Magnetic Resonance Imaging (MRI) is a medical imaging method that shows different anatomical parts of the body. MRI scans can be formed of many different organs, but the most common is the brain. MRI machines use large, spinning magnets and radio waves.

How are MRI images produced?

MR imaging relies on the motion of water molecules in the brain to form different types of images. In an MRI machine, large magnets spin around a participant to generate a magnetic field. Then, a short burst of radio waves is produced and the water molecules absorb the energy from the waves. This changes how they spin. When they give off energy as they relax (return to their normal state), the energy given off is detected and a computer then formulates the images.

MRI Scanner

Who was involved in creating MRI?

Raymond Damadian (1936-) was the inventor of the first MRI machine in 1969. The first patient was scanned in 1977 to diagnose cancer. However, before the machine itself was invented, other scientists that came before Damadian set the stage for the creation and implementation of MR imaging in the present day.

Isidor Isaac Rabi (1898-1988) was an American physicist who worked to understand the behaviour of atoms as small magnets and learn about properties such as their spin. In 1944, he won the Nobel Prize in Physics for his discovery of magnetic resonance. This discovery was crucial for the development of MR imaging techniques in the future. Felix Bloch (1905-1983) and Edward Mills Purcell (1912-1997) also won the Nobel Prize for Physics in 1952 for developing methods to make precise measurements using magnetic resonance.

Dr. Damadian (left) and colleagues with the first MRI machine

What do the MRI images look like?

MRI images are used to image soft tissues in the body, particularly, in the brain. In our study, we can use MRI images from participants' brain scans and measure different anatomical features of the cerebrum such as the volumes of white matter, grey matter, cerebrospinal fluid, and cerebral blood flow. In order to measure volume, the images collected are three dimensional. As such, the basic unit of an MRI scan is a voxel, which is like a 3D pixel. One voxel measures a small volume of brain tissue, which can be displayed in an image and quantified using computer programs.

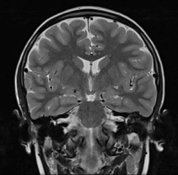
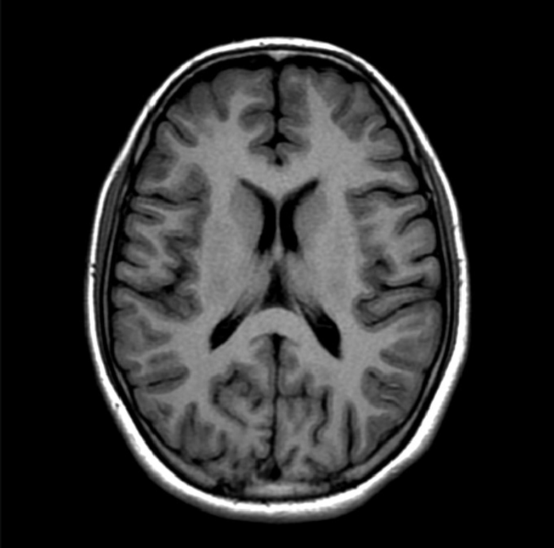
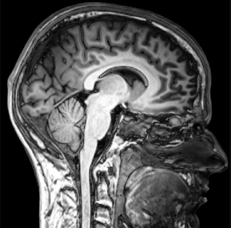
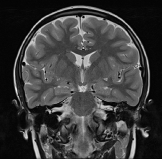
The MRI machine takes images from different angles, and our lab uses three main views of the brain.

  • The coronal view shows horizontal brain slices from the top of the brain to the bottom. This image looks like a bird’s-eye-view perspective
  • The sagittal view shows vertical slices from the side profile. This view allows researchers to look at the brain from the left side to the right side.
  • The axial view takes vertical slices from the front to the back of the head. This is a head-on look at the brain.

Coronal View

coronal view

Sagital View

Sagital view

Axial View

Axial view