Navigation

Return to Home

Main Page

The Fellowship is organized as a series of 4-week rotations:

Our core educational rotations are Adult Neuroradiology (Magnetic Resonance Imaging, Computed Tomography, Acute Care Imaging), Neonatal Neuro-Critical Care Imaging, Pediatric Neuroradiology, Neurovascular Imaging, Head and Neck Imaging, and Percutaneous Spine Interventional

Elective rotations are offered in both the PGY6 and PGY7 years to provide unique and valued learning opportunities for the Fellow in an area(s) of their own interest and choosing. Electives include interdisciplinary disease-based experiences and nonclinical opportunities to explore education, global health, and research. Our program’s integration of these types of interdisciplinary experiences allows Fellows to gain insight into the role of imaging in decision making and improves the understanding of clinically significant findings, which ultimately translates into the ability to add substantial value to patient care. Examples of elective rotations include Stroke Service and Neurovascular Imaging; Neuropathology; Neuro-Oncology; Dementias, Brain Degeneration and Epilepsy; Head and Neck Surgical Oncology; Neurocritical Care Imaging; Adult Hydrocephalus Imaging and Neurosurgery; Neurointerventional Radiology; Neuroradiology Residency Administration; and Hypothesis-Driven Research and Scholarly Activities.

A strength of our Neuroradiology Fellowship is the one-on-one learning in the reading rooms, with case-by-case real-time feedback from supervising staff Neuroradiologists. In addition, you receive education in other venues, including a dedicated Neuroradiology Fellowship lecture series, Radiology Residency lecture series, multidisciplinary clinical conferences, visiting professorships, journal clubs, and research seminars. 

You are also able to learn by educating radiology residents, elective residents, and medical students, both at the workstation and in formal teaching conferences.

The Calgary Neuroradiology Case of the Week is a popular and friendly competition within our Fellowship cohort. Cases are posted each week to the Fellow’s email inbox, and are chosen from our local practice experience to include a spectrum of topics across brain, spine, and head and neck using all imaging modalities. Fellows have one week to reflect upon the Case, do some focused reading, and submit their answer by providing an imaging diagnosis. Standardized grading, performed in an anonymous manner, is performed and the Fellow who has accumulated the most points at the end of each academic year is recognized at the Fellowship Year-End dinner.

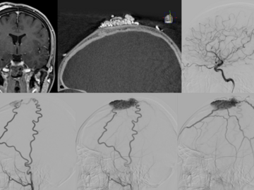
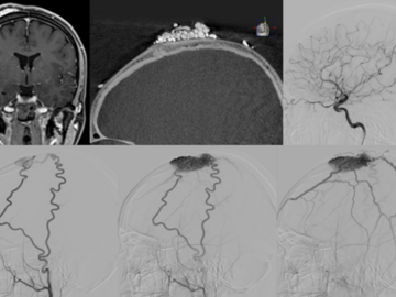
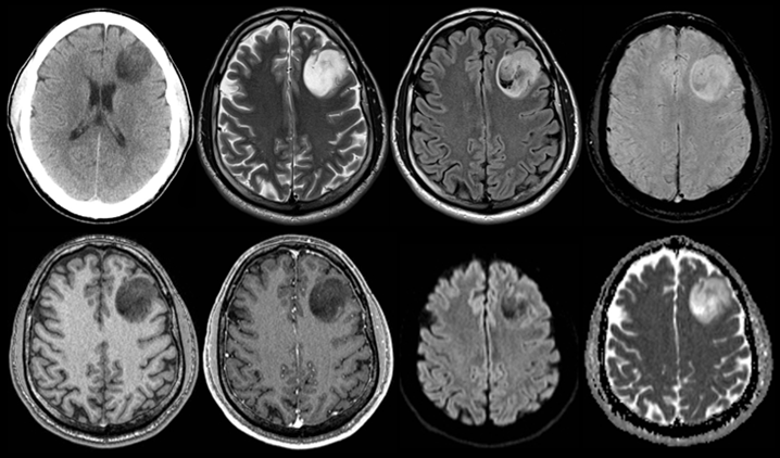
Test yourself with these two Cases of the Week

Our Neuroradiology program could be described as a medium-volume and high case-complexity practice.

The first several weeks will require adjustment of the Fellow to our scanning procedures, protocols, and workflow. By 4 months, the Fellow should supervise and report 10-15 MRI scans per day with staff supervision and by the 4th quarter of the year should be capable to supervising and reporting the MRI service at a senior Fellow level (15-25 scans/day) with minimal staff supervision. All scans and procedures will continue to be double read by a faculty neuroradiologist which provides an excellent opportunity for teaching and feedback at the workstation. 

In our Neuroradiology Fellowship program, 

• The Fellow should achieve 1500-1800 MRI cases, read as a primary interpreter during each fellowship year. 

• The Fellow should achieve 1500-1750 CT cases, read as a primary interpreter during each fellowship year. 

• The Fellow should achieve 100-150 US cases, read as a primary interpreter during each fellowship year.

 • The Fellow should perform 180-250 percutaneous spine pain management interventional procedures each fellowship year. 

The Fellow will also be exposed to/have access to cases reported by staff with ample opportunity for discussion of interesting findings.