In this issue

Healthier lives sparked by philanthropy
How Geoff Cumming’s investment strengthened UCalgary’s position as a global leader in health research

15-year partnership drives new treatments for kids
Calgary teen’s childhood illness is in the rearview thanks to innovation at the Alberta Children’s Hospital Research Institute

Generous gift sparks momentum and transforms cancer research in Canada
A decade after the Arnie Charbonneau Cancer Institute was founded, innovative research discoveries are improving the lives of cancer patients

A chance meeting that changed everything
How a transformational gift to the Hotchkiss Brain Institute impacted one essential tremor patient’s life

Founding gift sparks two decades of improving heart health at the Libin Cardiovascular Institute
Libin family’s vow to develop world-class cardiac research and care in Calgary helps surgery patients like Dave Deveaux get home to his family faster

Successful treatment inspires funding for life-changing research
Founding gift to the McCaig Institute ensures people like Judy Henry, who has a knee condition, can continue to enjoy an active lifestyle

How a gift to fund community-based research is transforming lives
Calgarian Lexi Marr has a home of her own thanks to O’Brien Institute research

Research-backed treatment changes lung patient’s life
The generosity of Joan Snyder and others has helped transform the Calvin, Phoebe and Joan Snyder Institute for Chronic Diseases into a global leader for chronic, infectious and inflammatory-disease research


Timeline of the Cumming School of Medicine's major philanthropic and health excellence milestones
It’s been 10 years since Geoff Cumming made a transformational $100-million gift to the University of Calgary, propelling the medical school onto the global map for health research excellence.
For Cumming, Hon. LLD’16, a business leader and philanthropist who spent most of his adult life in Calgary, giving back to the university he attended was a great fit.
“My father was a doctor, my mother was involved with a medical school… and I wanted to do something which I felt contributed to all of humanity,” he says.
On June 17, 2014, Cumming made the largest single philanthropic gift ever to UCalgary and one of the largest to a Canadian university at the time. It was matched by the Alberta government.

Although the work is done in Calgary, people around the world will be the beneficiaries.
Geoff Cumming
The Cumming School of Medicine’s (CSM) international research record and reputation has since grown dramatically.
Made up of seven research institutes, which are also celebrating milestone anniversaries since being founded, the CSM is now a leader in many areas, from advancing stroke care and psychosocial oncology, to microbiome research, community-embedded public health research, minimally invasive cardiac surgery and orthopedic innovation.
This impact includes many research discoveries that directly benefit patients today in Calgary, Canada and beyond.
“Although the work is done in Calgary, people around the world will be the beneficiaries. Looking back on it, I’m very pleased with the outcome of the gift and I’m optimistic about the future,” says Cumming.
His gift has helped UCalgary become the youngest institution ranked as a top research university in Canada.
“Geoff wished for his gift to UCalgary to ‘spur research breakthroughs’ in brain and mental health, inflammation and chronic diseases.
“I am extremely proud and grateful to say that his wish has come true. Our internationally acclaimed researchers are conducting groundbreaking medical research that would not have been possible without his extraordinary generosity,” says Dr. Ed McCauley, president and vice-chancellor of UCalgary.
The next 10 years and beyond look just as bright.
“We want to be the medical school of choice for new learners, faculty and staff. If we attract and retain the best people, then amazing things will happen,” adds Dr. Todd Anderson, MD’85, dean of the CSM and a cardiologist and scientist.

Sixteen-year-old Eleora, pictured with younger sister Katriel, is now a healthy, thriving teenager thanks to the groundbreaking research conducted by members of the Alberta Children’s Hospital Research Institute (ACHRI).
When Eleora Ogundare was only eight years old, she received a stem cell transplant that cured her of sickle cell anemia thanks to revolutionary pediatric research conducted by members of the Alberta Children’s Hospital Research Institute (ACHRI).
Eight years later, the young Calgarian is a healthy, thriving teenager who enjoys walking her dog, playing sports and spending time with her family.
“Without them, I don’t know where I’d be right now,” she says.
ACHRI was the first to adapt an adult sickle cell treatment protocol to treat children with fewer side effects, which sparked an international clinical trial to study outcomes on a larger scale.
The Alberta Children’s Hospital (ACH) was the only pediatric centre in the world to offer this treatment at the time.
The trial results changed how sickle cell anemia is treated worldwide, with ACHRI research and ACH clinical teams now recognized as global leaders in curative therapies for the disease.
Ogundare’s story of healing is one of many made possible thanks to ACHRI’s research leadership. In June 2024, the Cumming School of Medicine (CSM) is celebrating the creation of ACHRI 15 years ago through a partnership between the University of Calgary, Alberta Health Services and the Alberta Children’s Hospital Foundation (ACHF).
“ACHRI has brought together the very best and brightest researchers collaborating across a cross section of institutes, departments and faculties… they’ve all come together to find better treatments and new discoveries to help children,” says Saifa Koonar, BComm'92, MBA'02, president and CEO of the ACHF.
The institute’s excellence was critical in UCalgary declaring child health an institution-wide focus for research — the first to do so in Canada.
The university has continued to lead the way with the One Child Every Child initiative. In April 2023, UCalgary received $125-million from the federal government’s Canada First Research Excellence Fund — the largest grant ever awarded to a university in Alberta — to launch the initiative.
Dr. Francois Bernier, MD, director of ACHRI and professor of medical genetics and pediatrics, says the partnership is the engine of innovation for the institute’s research.
“The partnership allows you to be really creative, to push the envelope and to be that kind of space where everyone aspires to be as a scientist and a clinician.”
Ogundare, who has her sights set on becoming a neurologist after she graduates, has come a long way since her transplant.
“I’ve started driving and I want to try doing rugby this year, which I probably would not have been able to do if I was still sick.”

When Eleora Ogundare was only eight years old, she received a stem cell transplant that cured her of sickle cell anemia.
A decade after the Arnie Charbonneau Cancer Institute was founded, innovative research discoveries are improving the lives of cancer patients
A cancer diagnosis and strong desire to help others who had been diagnosed led to a foundational gift that altered the trajectory of cancer research across Canada.
Late businessman Arnie Charbonneau made a transformational donation to the University of Calgary on March 17, 2014, aiming to strengthen the reach and impact of what was then the Southern Alberta Cancer Research Institute at the Cumming School of Medicine.
A decade later, the Arnie Charbonneau Cancer Institute continues his legacy, bringing together some of the world’s top clinicians and scientists who collaborate to translate leading-edge discoveries into new tools for cancer diagnosis, screening, prevention and treatment.
Thanks to Charbonneau’s generosity, as well as hundreds of other donors who made gifts both large and small, the institute has national and international impact as a research leader in several areas — spanning the spectrum from harnessing data to inform cancer screening and detection, to developing new precision treatments, such as immunotherapy, to psychosocial oncology and survivorship.
Calgary’s Milan Heck, who learned as a teenager she has a rare cancer known as alveolar soft part sarcoma (ASPS), has played an important role in advancing research for the institute’s immunotherapy program for solid tumours.
Impacting patient care is the No. 1 goal here. So, no matter where on that spectrum of research you are, real-world impact drives every research question we investigate — Mr. Charbonneau’s gift has made it possible.”
Dr. Jennifer Chan, MD
Director of the Arnie Charbonneau Cancer Institute
With her donated tumour samples, researchers at the Charbonneau Institute’s Riddell Centre for Cancer Immunotherapy proved in a study conducted on mice that re-engineered immune cells could attack and shrink her cancer. That laid the foundation — just two years later — for the world’s first trial to test the new therapy in patients with solid tumours.
“It really is offering an opportunity to myself and other patients to live somewhat normal lives — and that’s a huge thing,” says Heck.
Dr. Jennifer Chan, MD, director of the Charbonneau Institute, says the growth of the institute over the past 10 years has been tremendous.
“Impacting patient care is the No. 1 goal here,” says Chan. “So, no matter where on that spectrum of research you are, real-world impact drives every research question we investigate — Mr. Charbonneau’s gift has made it possible.”

Late businessman Arnie Charbonneau made a transformational donation to the University of Calgary.
When John Mac Donald met Harley Hotchkiss at a Calgary Flames game in 2004, he had no idea the local philanthropist would go on to fund brain and mental health research that would later change Mac Donald’s life.
“We ended up going to this hockey game together and you couldn’t find a more accommodating person,” recalls Mac Donald. “A very unpretentious individual and a beautiful person who was just amazing.”

Thanks to research at the Hotchkiss Brain Institute, John Mac Donald of Airdrie, Alberta, can enjoy the sports and other activities he loves most.
That same year, Harley Hotchkiss, LLD'96, together with his wife Rebecca and family, made a transformational gift to the University of Calgary’s Cumming School of Medicine, establishing the Hotchkiss Brain Institute (HBI). Hotchkiss was always interested in the mysteries of the brain.
“That was a natural fit for him. He thought that this was a good way to have impact on many, many people’s lives,” says his daughter Brenda Mackie, who now leads The Hotchkiss Family Foundation and is chair of the Strategic Advisory Board for the HBI.
Hotchkiss passed away in 2011 at the age of 83, but his legacy lives on. The family’s foundational gift has helped spark life-changing research, including work involving High Intensity Focused Ultrasound (HIFU) — a procedure Mac Donald underwent in 2022 for a brain condition which causes shaking known as essential tremor.
“At the time, I didn’t realize I’d be going for this operation and I didn’t know the money that (Harley) had contributed to the Hotchkiss Brain Institute (would benefit me). I couldn’t thank him enough,” says Mac Donald, who can golf and feel confident socializing with friends again.
As the HBI marks the 20th anniversary of Hotchkiss’s gift, it has many examples like this to celebrate. In 2015, neurologists and scientists at the Calgary Stroke Program and HBI members led an international trial in clot removal therapy that revolutionized how stroke is treated around the world.
“Whole health systems have been changed; whole communities are healthier because we proved this treatment works,” says Dr. David Park, PhD, director of the HBI.
The HBI has also made significant discoveries for treating mental health and depression with Transcranial Magnetic Stimulation (TMS) technology — a treatment approved by Health Canada. HBI’s researchers are making this treatment dramatically more effective by combining TMS with new strategies to make the brain more receptive. One of these strategies is using the antibiotic D-Cycloserine (DCS) alongside TMS, which appears to increase the brain’s response to treatment.
The generosity of the Hotchkiss family and other donors continues to power the world- leading research underway at the institute.
“It’s an exciting time for neuroscience. The HBI has been leading the charge since our inception 20 years ago, and we will continue to do so for the decades to come,” says Park.

Harley Hotchkiss
When Dave Deveaux, an active father of four and a Calgary pilot, learned he needed heart surgery he was in shock.
Despite having no symptoms, a medical test showed he had mitral regurgitation. If left untreated, it can lead to heart failure.
Deveaux wanted to be proactive without putting his family life or career on hold, so he underwent Minimally Invasive Cardiac Surgery (MICS). MICS techniques, first brought to the Libin Cardiovascular Institute in 2012, allow surgeons to repair or replace valves through a small incision made between the ribs on the patient’s side instead of open- heart surgery. It means a smaller scar and a shorter recovery time.
“I wanted to take care of it now versus later in life — you’re younger, you’re healthier.
The recovery was very quick. I was home easily in four days,” says Deveaux. “My murmur is gone, my condition is better, my heart is functioning great.”
This revolutionary procedure is just one of many examples of how the institute has contributed to healthier lives thanks to a foundational gift from the Libin family.
On March 6, 2003, the Alvin and Mona Libin Foundation donated to Alberta Health Services (AHS) and the University of Calgary’s Cumming School of Medicine (CSM), establishing the Libin Cardiovascular Institute in January 2004.
The Alvin and Mona Libin Foundation has since made several gifts to the institute.
“They were focused on achieving excellence for cardiovascular care in southern Alberta. They wanted people to be able to access quality care, right from Calgary. And they did that. The Libin Cardiovascular Institute is world renowned, because of the quality of our people,” says Eda Libin, BComm'12, Alvin, LLD'94, and Mona’s granddaughter and executive director and vice-president of the Foundation.
The Libin Cardiovascular Institute is now a national leader in many areas including precision cardiovascular medicine, women’s cardiovascular health and Minimally Invasive Cardiac surgery.
“MICS is a really important program, and we are at the forefront. We have surgeons coming from around the country to learn from us now,” says Dr. Paul Fedak, MD, PhD, director of the Libin Institute and a cardiac surgeon.
For Deveaux, a shorter recovery time meant returning to activities he loves like flying planes, cycling and spending time with his family.
“I wanted to be healthy for my family and my kids. That was the priority.”

Mona and Alvin Libin

Calgary father and pilot Dave Deveaux has returned to his active lifestyle after recovering quickly from minimally invasive heart surgery.


J.R. (Bud) McCaig, LLD'98, knew firsthand what it’s like to live with rheumatoid arthritis, so when he received successful treatment in his hometown he was inspired to help improve outcomes for others.
When the Calgary businessman and philanthropist underwent surgeries to repair several of his joints in the late 1980s, he was introduced to Dr. Marv Fritzler, PhD '71 MD'74, a clinician-researcher at the University of Calgary, and Dr. Cy Frank MD'76, a young orthopedic surgeon. They all wanted to improve care for people with arthritis.
McCaig teamed up with fellow community leader Dick Haskayne LLD'97 to create the Western Orthopedic and Arthritis Research Foundation to fundraise for a new facility at UCalgary’s Cumming School of Medicine (CSM), bringing together discovery science researchers with clinical practitioners.
In March 1992, the McCaig Centre for Joint Injury and Arthritis officially opened. McCaig continued to lend his support, and, with his wife Ann, made a founding gift in 2004 to the centre that is now known as the McCaig Institute for Bone and Joint Health. He passed away a year later at the age of 75, but his legacy lives on.
The McCaig Institute continues to lead the way in orthopedics innovations. It’s reaching new heights in bone health research (through a study in partnership with NASA that followed astronauts) and strengthening diagnosis of autoimmune diseases thanks to autoantibody research.
McCaig research has been life-changing for people like Judy Henry. Multiple surgeries — refined and improved by McCaig Institute research — have kept the lifelong athlete in sports, despite knee issues that started in her teens.
“If I wasn’t active, I wouldn’t have been as happy. We have grandkids that I want to play with and get down on the ground with,” she says.
Seven months after a 2023 knee surgery, the 60-year-old Calgarian and passionate skier walks 10-15 kilometres a day and looks forward to getting back on the slopes.
“It’s been an absolute gift to me, and I have such gratitude for what the McCaig Institute does,” she says.
A 2017 gift from Bud’s children Jeff, JoAnn and Melanie through the McCaig Institute Foundation ensures the institute can continue to provide life-changing bone and health research for years to come.
“Today, I’m most proud of how the institute is moving forward,” says Marilyn McCaig BEd'75, Jeff’s wife. “Seeing the new generation giving patients hope and better outcomes is what’s inspiring to us.”
“My hope for the future of the McCaig Institute is that it is able to find cures for arthritis and if that’s not possible to at least find modalities of care that improve people’s lives in that they have mobility for much longer,” adds Jeff.
The McCaigs’ generosity has also sparked thousands of others to invest in the institute — through large and small gifts — all contributing to healthier lives.
“It permits us to bring all of the pieces together to make a difference to those living with bone and joint diseases and continue the work to understand how to maintain bone and joint wellness throughout one’s life,” says Dr. Cheryl Barnabe, MSc '11, MD, director of the McCaig Institute and a rheumatologist.
For Gail and David O’Brien, making a gift to the University of Calgary’s Cumming School of Medicine (CSM) 10 years ago made perfect sense.
Gail, LLD'10, a community leader, was passionate about medicine while David, LLD'10, who built his business career in Calgary, had always been interested in education.
“I thought it was just right that I give back in Calgary, because I’d been very successful in Calgary and owed it to the community,” says David.

Being able to find work without having to worry about where I’m going at night or where I’m staying is a huge stress off my shoulders.
Lexi Marr
In 2014, the O’Brien’s made a foundational gift to the CSM, which established the O’Brien Institute for Public Health. They have since made several gifts and continue to lend their leadership and expertise to the O’Brien Institute as members of the institute’s Strategic Advisory Board.
Today, the O’Brien Institute is a leader in community-based research, making an impact in health equity and public health policy. Some recent initiatives include supporting Alberta’s most vulnerable citizens who were disproportionately impacted by the COVID-19 pandemic; working with rural Albertans to address the ongoing health-care shortages in their communities and partnering with a community organization to unlock long-term funding for a program to combat youth homelessness, through the institute’s Health Equity HUB.
Established in 2023, the HUB brings together UCalgary researchers with government and community members to effect change in policy and practice through health equity data. Also last year — backed by O’Brien members’ evaluative data and research — the HUB was able to help secure $3-million in government funding that went to Calgary’s Trellis Society for an unhoused youth program.
“It’s just a really important example of the type of work that we’re trying to do within the community and the impact it can have,” says Dr. Kirsten Fiest, PhD, scientific director of the O’Brien Institute.
It has certainly made an impact on 22-year-old Lexi Marr, who knows what it’s like to have no home. She left her parents’ house when she was only 15 due to family conflict. She stayed with friends and family on and off, but also slept outside. Last fall, through the Trellis Society’s program, she moved into her own apartment in downtown Calgary.
“I was unhoused almost every few months for the past three years,” says Marr.
“Being able to find work without having to worry about where I’m going at night or where I’m staying is a huge stress off my shoulders.”
Gail O’Brien says she’s encouraged by the research happening at the O’Brien Institute.
“It makes me excited and proud to think about the importance of the work that the O’Brien Institute will do over the next 10 years,” she says.
Calgarian Joan Snyder, Hon. LLD’11, was a visionary philanthropist with a love for her community who would only invest in things she believed in deeply.
Snyder’s transformational gift in 2008 established the Calvin, Phoebe and Joan Snyder Institute of Infection, Immunity and Inflammation at the University of Calgary’s medical school. She would follow it up with several gifts over nearly two decades, including an historic $35-million legacy gift in 2023.
More than 15 years after her foundational gift, it’s clear Snyder has received an exponential return on her investment.

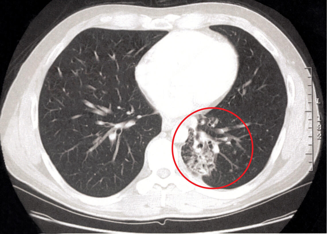
Twenty years ago Clark Spencer was diagnosed with a serious, life-threatening and incurable fungal lung infection he picked up while living in the southern U.S.

Joan Snyder, Hon. LLD’11
Today, the renamed Snyder Institute for Chronic Diseases is a leader in chronic, infectious and inflammatory disease research. Thanks to Snyder’s generosity, the institute has been able to attract top researchers and clinicians from around the world and is making a significant impact in areas such as the microbiome, live cell imaging and organoid research.
“The ability to image immunity in real time is definitely what we’re known for, and now of course we are building on that by integrating the newest microbiome and organoid research,” says Dr. Derek McKay, PhD, director of the Snyder Institute.
This research is changing lives for patients like Calgarian Clark Spencer, who credits his stable health to the work being done at the Snyder Institute.
Twenty years ago, he was diagnosed with a serious, life-threatening and incurable fungal lung infection he picked up at the age of 38 while living in the southern U.S. After Spencer moved back to Canada, his Calgary medical team started him on a new treatment plan backed by Snyder Institute research and helped him regain lung function.
“When I was first diagnosed, I didn’t think that I was going to make it past 45. So, I owe being here to the care that I received and the research behind it,” he says.
Spencer has now been able to return to doing the things he loves — like spending time with his wife Shelly and walking his dog Kona.
A legacy lives on
Growing up in a small town in Saskatchewan, Snyder’s parents instilled in her from an early age the power of philanthropy and the value of giving back.
Don Brownie, BA'66, who volunteers as a Strategic Advisory Board member for the Snyder Institute, believes Snyder, who passed away in April 2022 at the age of 90, would be proud of what the institute has become.
“She would just be so pleased,” he says.
Snyder’s generosity has also inspired other donors to give, according to institute director Dr. Derek McKay, PhD.
“They want to help when they see someone else has had so much faith in the institute.”
Our achievements
A snapshot of the CSM’s success 2014 – 2024