RESEARCH | ESCAPE STROKE TRIAL: NEW THERAPY BENEFITS STROKE
HBI Escape
Escape Trial: Dr. Michael Hill
Think FAST; recognize and react to the warning signs of stroke:
- F (facial droop)
- A (arm weakness)
- S (speech slurred or garbled)
- T (time to call 9-1-1)
- Stroke is a leading cause of death in Canada
- Ischemic stroke is caused when blood flow to the brain is blocked
- In stroke, time equals brain. Each minute the brain is not receiving blood flow, about 1.9 million brain cells die
- Stroke is the leading cost of serious long-term disability in adults
- Stroke can happen at any age
The study included 22 sites worldwide and patients in the U.S., U.K., Ireland and South Korea. Canada had 11 participating hospitals and enrolled two-thirds of the patients.
- Foothills Medical Centre | Calgary, Alta.
- Royal University Hospital | Saskatoon, Sask.
- Colorado Neurological Institute | Denver, Colo.
- St. Michael's Hospital | Toronto, Ont.
- UPMC Medical Centre | Pittsburgh, Penn.
- Queen Elizabeth II HSC | Halifax, N.S.
- Toronto Western Hospital | Toronto, Ont.
- University of Alberta Hospital | Edmonton, Alta.
- Chattanooga Center for Neurologic Research | Chattanooga, Tenn.
- CHUM-Hospital Notre-Dame | Montreal, Que.
- MUSC-Medical University of South Carolina | Charleston, S.C.
- Sunnybrook Health Sciences Centre | Toronto, Ont.
- Ottawa Hospital | Ottawa, Ont.
- London Health Sciences Centre | London, Ont.
- McGill University (MNI) | Montreal, Que.
- Beaumont Hospital | Dublin, Ireland
- Abington Memorial Hospital | Abington, Penn.
- Royal Victoria Hospital | Belfast, N. Ireland
- Yonsei University (Severance Hospital) | Seoul, South Korea
- Samsung Medical Centre | Seoul, South Korea
- Keimyung University (Dongsan Medical Centre) | Daegu, South Korea
- Temple University Hospital | Philadelphia, Penn.
2015 press release
Canadian researchers have completed an international randomized controlled trial showing that a clot retrieval procedure, known as endovascular treatment (ET), can dramatically improve patient outcomes after an acute ischemic stroke. The study, led by researchers at the University of Calgary’s Hotchkiss Brain Institute (HBI), shows a dramatic improvement in outcomes and a reduction in deaths from stroke. The results of this study were published in the Feb. 11 online edition of the New England Journal of Medicine (NEJM).
Overall, positive outcomes for patients increased from 30 per cent to 55 per cent. In many cases, instead of suffering major neurological disability, patients went home to resume their lives. The overall mortality rate was reduced from two in 10 patients for standard treatment of care to one in 10 patients – a 50 per cent reduction with ET.
The clinical trial, known as ESCAPE (Endovascular treatment for Small Core and Anterior circulation Proximal occlusion with Emphasis on minimizing CT to recanalization times), shows there is a marked reduction in both disability and death among patients who receive ET for acute ischemic stroke. Ischemic stroke is caused by a sudden blockage of an artery to the brain that deprives the brain of critical nutrients, such as glucose and oxygen. Currently, the international standard of care based on Canadian, U.S. and European guidelines is to administer a drug called tPA when appropriate. Known as a ‘clot buster’, the drug dissolves the blood clot.
In the ESCAPE trial, 316 patients who fit the criteria for ET and arrived for treatment within 12 hours of their stroke were randomized to standard medical care (which included the clot-busting drug tPA where appropriate) or standard medical care plus ET.
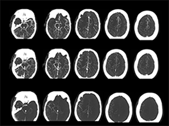
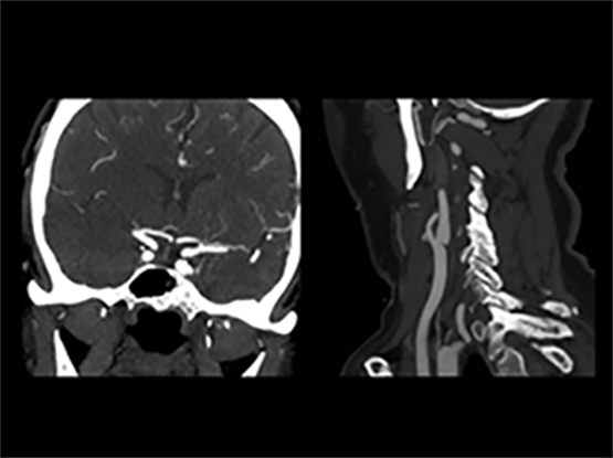
ET is performed by inserting a thin tube into the artery in the groin, through the body, and into the brain vessels to the clot. This is done under image-guided care using an X-ray. The clot is then removed by a retrievable stent and pulled out, restoring blood flow to the brain.
Endovascular treatments were first developed in the 1990s, but ET has only recently been technically possible. The ESCAPE team says the success of the trial can be credited to very fast treatment and the use of brain and blood vessel imaging. In ESCAPE, researchers were on average two hours faster in opening the blocked blood vessels than in previously reported trials.
ESCAPE is the second ET trial that demonstrates the efficacy of the treatment and the first trial to demonstrate reduced mortality. The previous trial, known as MR. CLEAN (Multi center Randomized Clinical trial of Endovascular treatment for Acute ischemic stroke in the Netherlands), was published in December 2014.
Brain and Mental Health is one of six strategic research themes guiding the University of Calgary towards its Eyes High goals.
The study was funded by The Heart and Stroke Foundation of Canada, Alberta Innovates-Health Solutions and Medtronic, along with generous donations to the Hotchkiss Brain Institute Stroke Team and the Calgary Stroke Program.
Team Bios

Dr. Michael Hill
Dr. Michael Hill is a Professor for the Departments of Clinical Neurosciences, Community Health Sciences, Medicine and Radiology at the University of Calgary. He is also Director of the Stroke Unit for the Calgary Stroke Program, Alberta Health Services.
Dr. Hill completed undergraduate training at McGill University in biochemistry and went on to the University of Ottawa medical school. He trained in internal medicine at the University of Ottawa and received his FRCPC (Internal Medicine) in 1997. Subsequently, he completed a neurology residency at the University of Toronto and received his FRCPC (Neurology) in 1999. Dr. Hill moved to Calgary to undertake a stroke fellowship and clinical epidemiology training at the University of Calgary and was appointed to faculty in 2001. He then completed his MSc thesis in 2003, and is currently Director of the Stroke Unit at the Foothills Medical Centre, Calgary Health Region.
Dr. Hill’s research interests include stroke thrombolysis, stroke epidemiology, and surveillance and clinical trials. He is funded by the Canadian Institutes for Health Research (CIHR) and holds the Heart & Stroke Foundation of Alberta/NWT/Nunavut professorship in Stroke Research. He holds and has held operating and clinical trials grants from the CIHR, Heart & Stroke Foundation of Alberta/NWT/Nunavut and from various industry partners as well as NIH (NINDS). Dr. Hill has also received a number of awards, including the Barnett, The Pessin Award and the ARP merit award and the Performance Recognition award for his role in research and his outstanding publication record.
“THIS IS THE MOST SIGNIFICANT AND FUNDAMENTAL CHANGE in acute ischemic stroke treatment in the last 20 years. These results will impact stroke care around the world.”

Dr. Mayank Goyal
Dr. Goyal is the Director of Research, Department of Diagnostic Imaging. His main research interests are: Imaging in hyperacute stroke, treatment strategies for hyperacute stroke, image post-processing and teleradiology solutions, and minimally invasive MR guided procedures. His recent works include assessment of carotid stability on CT angiography, use of iPhone to diagnose acute stroke, and increasing efficiency in treatment of hyperacute stroke.
He is a coinvestigator in the CATCH (CT And MRI in the Triage of TIA and minor Cerebrovascular events to identify High risk patients) study. He is also a coinvestigator in a recently submitted grant application, identifying novel approaches to optimizing arterial imaging interpretation for predicting and measuring recanalization whatever the treatment and to optmize parenchymal imaging interpretation for prediction of early neurological recovery after recanalization using Serial CT angiography, INTERRSeCT.
He is currently working on a scoring system (modified ASPECTS) to improve the ability to detect early changes of ischemic stroke on oncontrast CT scan and reduce interobserver variability. He is site PI for the START Trial (Clinical Outcome in Acute Stroke Treatment After Image Guided Patient Selection for Interventional Revascularization Therapy). Dr. Goyal is also the neuroradiology Residency Program Director and under his supervision several fellows have successfully trained in Diagnostic and Interventional Neuroradiology.
“KEY REASONS FOR THE SUCCESS OF THE TRIAL were, firstly, selecting appropriate patients using novel imaging technology; secondly, better organization and workflow to expedite treatment; and thirdly, use of modern technology to open the blood vessels. We believe that with the combined results from this trial and other trials, this will become the standard of care.”

Dr. Andrew Demchuk
Dr. Andrew Demchuk is a Professor in the Department of Clinical Neurosciences at the Cumming School of Medicine, University of Calgary. He is also a stroke neurologist and Director of the Calgary Stroke Program, Alberta Health Services.
Dr. Demchuk received his undergraduate degree in 1989 from the University of Regina, Saskatchewan. He then went on to complete his medical degree (with distinction) from the University of Saskatchewan in 1993, followed by his residency in neurology from the University of Calgary (1993-97). Dr. Demchuk completed a fellowship in cerebrovascular disease (1997- 99) from the University of Texas-Houston, under the direction of Dr. J.C. Grotta.
Dr. Demchuk’s primary research interests focus on vascular imaging, where he is trying to establish target populations for new stroke treatments by selecting patients based on imaging tests performed in the emergency setting.
In addition to his research and clinical activities, Dr. Demchuk is a member on a number of local, national, and international committees. He is the past board chair for the Heart and Stroke Foundation of Alberta, NWT, and Nunavut and member of the Board of Directors of the Canadian Stroke Consortium. He is currently a member of the Scientific Committee of the European Stroke Conference.
Throughout his career he has received a number of awards, including the Michael S. Pessin Stroke Leadership Prize from the American Academy of Neurology (2003), and the A Keith W Brownell Neurology Teaching Award for resident teaching (2006). He currently holds a scholar award from the Alberta Heritage Foundation for Medical Research (AHFMR).
“MANY STROKE TREATMENTS WORK ONLY IF ADMINISTERED IN A SET PERIOD OF TIME. Many patients don’t get to the hospital in time. With stroke, when removing the clot with this new treatment, every minute matters. If patients have facial drooping, arm weakness or speech difficulty, they need to call 9-1-1 immediately.”